[ad_1]
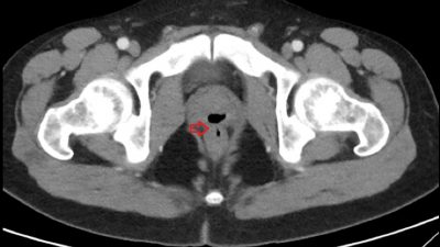
Screenshot hasil CT scan munculnya lubang tak lazim di pasien asal AS yang membuatnya ejakulasi lewat pantat.
Seorang lelaki minta bantuan komunitas dokter untuk mengakhiri penderitaannya. Selama dua tahun terakhir, lelaki asal Amerika Serikat itu ejakulasi sperma melalui lubang pantat. Kasus ini tentu saja mengherankan para peneliti dari berbagai negara, karena sangat jarang terjadi.
Gangguan kesehatan yang dialami lelaki 33 tahun itu telah menjadi topik penelitian, yang terbit pada pertengahan September 2021 dengan judul “A Curious Case of Rectal Ejaculation” di jurnal Cureus Journal of Medical Science. Menurut tim peneliti dari Fakultas Kedokteran the University of Texas Medical Branch at Galveston, ejakulasi yang dia alami seringkali terjadi begitu saja, menetes lewat anus.
Awalnya, lelaki itu mengeluhkan rasa nyeri di buah zakarnya. Ketika menjalani proses CT Scan, ketahuan lah kalau ada lubang yang tak lazim, menghubungkan kawasan prostat ke rektum. Alhasil semen dan urin, yang seharusnya terpisah dari rektum, justru mengalir semua ke lubang pantatnya.
Lubang macam itu, biasa disebut fistula oleh para dokter, bukan hal bisa secara alamiah muncul di organ manusia. Mereka kemudian menyelidiki, apakah dia pernah menjalani operasi di area prostat. Kemudian, terungkaplah dua tahun sebelum mengalami ejakulasi lewat anus, lelaki malang ini sempat menjalani operasi kateter, yakni pemasangan tabung kecil yang fleksibel dan biasa digunakan mengosongkan kandung kemih.
Operasi kateter itu ternyata menciptakan komplikasi dalam tubuhnya, memicu munculnya lubang yang menghubungkan prostat langsung ke anus. Tim dokter di Texas akhirnya menggelar operasi lanjutan untuk menambal lubang tersebut. Untungnya, seperti disimpulkan oleh penulis artikel di jurnal, operasi berjalan lancar dan ejakulasinya kini sudah normal, alias lewat penis seperti sedia kala.
Menurut tim peneliti, kasus langka ini menunjukkan setiap operasi bedah pemasangan kateter harus mempertimbangkan munculnya komplikasi. Meski demikian, pemasangan kateter dianggap tetap aman secara keseluruhan.
“Kasus macam ini memang sangat jarang, tapi bagi pasien kateter di prostat, perlu pemantauan berulang pascaoperasi agar efek samping macam ini tidak terjadi lagi,” demikian kesimpulan tim peneliti.
[ad_2]
Source link
